کشف عجیبترین علائم ابتلا به کرونا
دانشمندان آمریکایی عجیبترین علامت ابتلا به کرونا را کشف کردند.
به گزارش سایت طلا، همه گیری ویروس کرونا در جهان به یک سالگی خود رسیده است. تب، سرفههای خشک، خستگی و بی حالی از رایجترین علائم ابتلا به کووید ۱۹ است. علائم دیگر ابتلا به این ویروس نیز شامل درد و کوفتگی، گلو درد، اسهال، التهاب ملتحمه، سردرد، از دست دادن حس بویایی و چشایی، و بثورات پوستی میشود. با این حال، دانشمندان علائم نادر دیگری را نیز که نشان دهنده ابتلا به ویروس کروناست را کشف کرده اند.
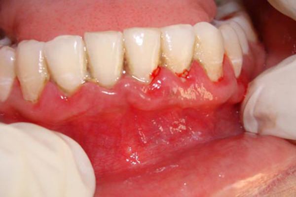
بر این اساس، متخصصان آمریکایی اعلام کرده اند که یکی از نشانههای عجیب مربوط به بیماری کرونا«افتادن دندان» است. اوایل ماه میلادی جاری، یک زن ۴۳ ساله در نیویورک پس از ابتلا به کرونا شاهد افتادن دندان هایش بود.
دیوید اوکانو، استاد دانشگاه یوتا اظهار کرد: ما شاهد یک علائم بسیار نادر و عجیب در یک بیمار کرونایی بوده ایم. این بیمار کرونایی ماه گذشته به این ویروس آلوده شده است و علائمی مانند مِه مغزی، مشکلات عصبی و درد عضلانی را از خود بروز داده است.
تحقیقات دانشمندان نشان میدهد از آنجایی که هیچ نشانهای از بیماری دیگر که منجر به افتادن دندان این زن شود وجود نداشت، شواهد نشان داد نه تنها ویروس کرونا باعث افتادن دندان این زن شده است بلکه باعث آسیب پذیری لثه و نیز سیاه شدن و ساییده شدن دندان این بیمار شده است.
محققان میگویند افرادی که تنها به کرونا مبتلا میشوند خطر از دست دادن دندان در آنها زیاد است. با این حال، افرادی که دارای بیماریهای لثه و دندان هستند در صورتی که به کووید ۱۹ مبتلا شوند ممکن است شرایط بسیار بدتری پیدا کنند و به مشکلات شدید دهان دچار شوند.
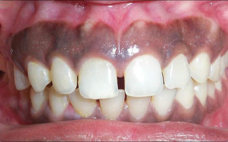
براساس اعلام مرکز کنترل و پیشگیری بیماریهای آمریکا در سال ۲۰۱۲، ۴۷ درصد افراد بالای ۳۰ سال دارای بیماریهای زمینهای شامل التهاب لثه یا استخوانی که اطراف دندانها را پوشانده است، بوده اند. از این رو، خطر مشکلات بیماریهای دهان و دندان در این افراد پس از ابتلا به کووید ۱۹ زیاد است.

اصلیترین دلیل مرگبار شدن ویروس کرونا کشف شد
تحقیقات دیگر نیز ارتباط میان خطر مرگ بار ابتلا به ویروس کرونا و بیماری لثه را مشخص کرده است. بیماری لثه خود با بیماری قلبی و بیماری مزمن ریوی ارتباط مستقیمی دارد. خود این دو بیماری نیز به طور مستقیم میتوانند خطر مرگ بیماران به کووید ۱۹ را به شدت افزایش دهند.
محققان در ایالت کالیفرنیای آمریکا و نیز برزیل اعلام کرده اند: بیماری لثه باعث میشود تا سطح پروتئین ایمنی به نام «اینترلوکئین ۶» در خون بالا رود. مشاهده شده است کسانی که سطح این پروتئین در خونشان بالا بوده است در صورت ابتلا به ویروس کرونا علائم بسیار شدیدی از خود نشان خواهند داد و برای زنده ماندن باید حتماً زیر دستگاه تنفس مصنوعی قرار بگیرند، همچنین میزان مرگ و میر این افراد نسبت به بیماران دیگر مبتلا به کووید ۱۹ بیشتر است.
این تحقیقات همچنین نشان داد اگر چه بیماریهای مختلف میتواند سطح اینترلوکئین ۶ خون را در افراد افزایش دهد، اما در صورت درمان بیماری لثه در افراد، سطح این پروتئین به میزان قابل توجهی در خون کاهش مییابد.
محققان میگویند افرادی که سطح اینترلوکئین ۶ آنها بیش از ۸۰ پیکوگرم در هر میلی لیتر است، بسیار بیشتر از سایرین در صورت ابتلا به ویروس کرونا ممکن است جان خود را از دست بدهند یا با تشدید بیماری نیازمند دستگاه تنفس مصنوعی باشند.
شروین ملایم، یکی از جراحان دندانپزشکی لس آنجلس آمریکا در این باره میگوید: بر این باوریم بسیاری از کسانی که سطح بالایی از اینترلوکئین ۶ را در خون دارند پیش از ابتلا به کووید ۱۹ از بیماری لثه رنج میبرده اند و همین امر بر شدت بیماری در آنها خواهد افزود.

هشدار سازمان جهانی بهداشت درباره مراجعه به دندانپزشکی در روزهای کرونایی
سازمان جهانی بهداشت توصیه کرد افرادی که در مناطقی با شیوع گسترده ویروس کرونا قرار دارند از مراجعههای غیرضروری به دندانپزشکی اجتناب کنند.
در بیانیه این سازمان آمده است: ما به مردم توصیه میکنیم در مناطق قرمز که شیوع ویروس کرونا بالاست از مراجعات غیرضروری به دندانپزشک از جمله برای جرم زدایی، سیم کشی و معاینات پیشگیرانه (چک آپ) خودداری کنند. مردم باید تا زمانی که سطح شیوع ویروس کرونا در جامعه پایین نیامده است، مراجعات غیرضروری خود را به تاخیر بیاندازند و تنها در شرایط بسیار ضروری مانند داشتن بیماری لثه و یا درد دندان به دندانپزشک مراجعه کنند.
این بیانیه تاکید دارد: احتمال انتقال ویروس کرونا از طریق خدمات دندانپزشکی بسیار بالاست و تا جایی که امکان دارد افراد نباید به دندانپزشک رجوع کنند. توصیه میشود مردم در ایام شیوع ویروس کرونا به نظافت دهان و دندان خود با حساسیت بیشتری توجه داشته باشند و از طریق فضای مجازی و مشاورههای از راه دور نسبت به چگونگی رعایت بهداشت دهان آموزش ببینند.
همچنین کادر درمانی دندانپزشک برای طولانی مدت در ارتباط مستقیم با دهان افراد قرار دارند. این افراد به طور پیوسته با آب دهان، خون و مایعات بدن مراجعه کنندگان خود در تماس هستند و از ابزارهای تیز استفاده میکنند. از همین رو، در صورت بیمار بودن مراجعه کننده، کادر درمانی به راحتی میتوانند به ویروس کرونا مبتلا شوند.
مراکز دندانپزشکی باید از تهویه بسیار مناسبی برخوردار باشند. بهتر است این مراکز دارای سیستم تهویه فیلتر دار باشند. همچنین جریان هوای تازه باید به طور پیوسته در مطب دندانپزشکان جریان داشته باشد.
سازمان جهانی بهداشت تاکید دارد استفاده از خدمات دندانپزشکی ریسک بالایی برای شیوع ویروس کرونا دارد. از همین رو، باید از مراجعه غیرضروری به این مراکز درمانی اجتناب کرد و اقدامات پیشگیرانه مربوط به دهان و دندان را به پس از کنترل شیوع کووید ۱۹ در جامعه موکول کرد.