ترسیم یک اطلس بینظیر از بدن انسان
دانشمندان به تازگی اندامهای بدن ما را با جزئیات بسیار دقیق ترسیم کردهاند.
به گزارش سایت طلا و به نقل از ساینسآلرت، گروهی از دانشمندان به تازگی اطلسی از تصاویر قابل توجه از سه اندام انسان منتشر کردهاند که هر کدام به شیوه خاص خود مهم هستند و نشان میدهند که چگونه انواع سلولها در کنار هم مرتب قرار گرفته و با هم تعامل دارند.

نتیجه این کار ایجاد طرحهای درخشانی بود که توسط رنگهای فلورسنت میدرخشند و درک ما از زیستشناسی و بیماریهای انسانی را به گونهای تغییر میدهند که هرگز اتفاق نیفتاده بود.
همانطور که در نمودار زیر می بینید، محققان اطلس سلولی را به سه روش تولید کردند.

یک گروه به سرپرستی سانجی جین(Sanjay Jain) نفرولوژیست دانشگاه واشنگتن از روشهای رونویسی تک سلولی برای نقشهبرداری از کلیه استفاده کردند که نشان میدهد چگونه دستورالعملهای ژنتیکیِ رمزگذاری شده در دیانای در سلولهای منفرد خوانده میشوند.
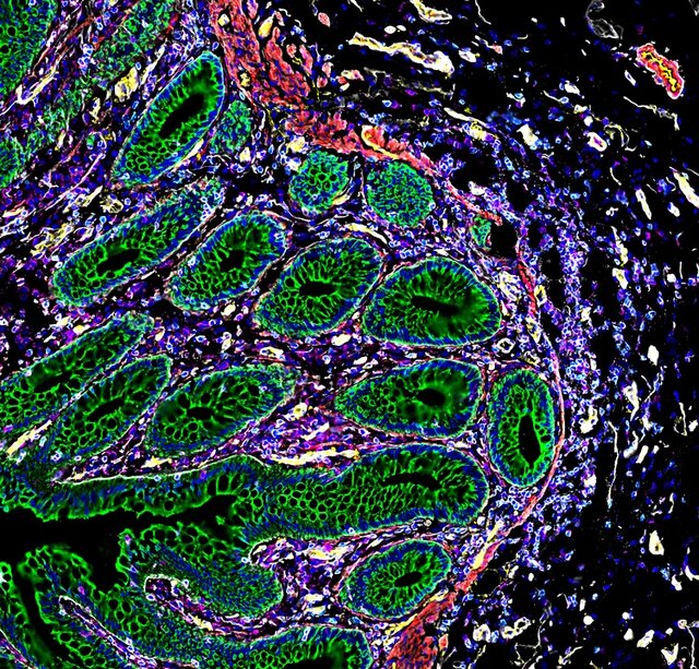
گروه دیگری به سرپرستی مایکل اسنایدر(Michael Snyder) ژنوم شناس در دانشکده پزشکی استنفورد نقشه روده را با کمک آنتی بادیهای فلورسنت متصل به بخشهای بافتی که در زیر میکروسکوپ قرار داشت، ترسیم کردند.
گروه سوم آنچه را دانشمندان از آن تحت عنوان «مهمترین اندامهای بدن، اما به طرز متناقضی ضعیفترین اندام بدن» نام میبرند یعنی جفت، بررسی کردند.
مایکل آنجلو(Michael Angelo)، پاتولوژیست دانشگاه استنفورد و همکارانش برشهایی از بافت جفت را که یونهای فلزی مرتبط با آنتی بادیهایی که قادر به چسبیدن به ترکیبات به خصوصی روی سطوح سلولها هستند روی آنها اعمال شده بود، ترسیم کردند. تمرکز آنها روی نمونههایی بود که در آن سلولهای جفت به دیواره رحم متصل شده بودند.

محققان با تصویربرداری از نمونههای متعدد در مراحل مختلف این فرآیند، از هفتهی شش تا ۲۰ بارداری، تعامل میان سلولهای جفت و سلولهای ایمنی مادر و شریانها را ترسیم کردند که هر دو برای سازگاری با جفت تنظیم میشوند.
دو زیستشناس سلولی که تفسیر جدیدی در مورد این مجموعه نوشتهاند میگویند: ما میتوانیم با جزئیات دقیق ببینیم که چگونه فرآیند بازسازی همزیستی مسالمت آمیز بین سلولهای رحم مادر و جفت جنینی را که از نظر ژنتیکی متمایز هستند، امکانپذیر میکند.

در مورد روده، این اندام به طول یک متر با میلیونها میکروب توسط غذاهای فوق فرآوری شده دچار التهاب میشود و سلولها به سیستم عصبی روده که اغلب «مغز دوم» بدن نامیده میشود، متصل میشوند.
گروه اسنایدر تغییرات شدیدی را در نحوه چیدمان سلولها در طول روده کشف کردند. آنها بخشهای متمایزی را ترسیم کردند که حاوی سلولهای ایمنی آماده حرکت بودند و به طور تصادفی به زیرگروههای جدیدی از سلولهای پوششی که روده را میپوشانند، دست یافتند.
تصویربرداری بیشتر از سطح روده و لایههای آن میتواند درک جدیدی در مورد چگونگی ایجاد بیماریهای التهابی روده، اختلالات خلقی یا حتی بیماریهای عصبی آشکار کند.

کلیهها نیز کارهای زیادی برای بدن انجام میدهند. آنها خون را پمپاژ میکنند تا آن را از سموم و مواد زائد پاک کنند، اما گاهی از کار میافتند یا بیمار میشوند و نیاز به جایگزینی دارند.
جین و همکارانش با نمونهبرداری از بیش از ۹۰ کلیه، کانالهای ارتباطی بین سلولها را مشخص کردند که در آن مسیرهای ترمیم در هنگام آسیب حاد کلیوی یا بیماری مزمن کلیوی معیوب میشود.
جین، سرپرست مطالعه تصویربرداری کلیه، توضیح میدهد: ما به نحوهی سازماندهی سلولهای کلیه، هویت مولکولی آنها و چگونگی تغییر آنها از حالت سالم به بیمار نگاه کردیم.

با این دانش، ما میتوانیم در مورد داروها یا اهداف مولکولی کوچکی که میتوانند از پیشرفت بیماری جلوگیری کنند یا درمان را بهبود بخشند، فکر کنیم.
به خاطر داشته باشید که این تصاویر با استفاده از تعداد کمی از نمونههای گرانبها که سخاوتمندانه توسط افرادی که تحت عمل جراحی قرار میگیرند و داوطلب شرکت در تحقیقات هستند، گرفته شده است.
یک کار بسیار سختتر، درک تفاوتهای ساختاری در اندامهایی است که بین گروهها و جمعیتهای مختلف وجود دارد که میتواند پیامدهای سلامتی واقعی داشته باشد.
مقالات و تفسیر آن در مجله نیچر منتشر شده است.