کرمی که ۲۰ سال در مغز یک مرد جا خوش کرده بود!
مردی ۳۸ ساله اهل ماساچوست بدون هیچ علائمی دچار تشنج شدید شد که پزشکان پس از آزمایشات علت بیماری را وجود کرم نواری در مغز این فرد تشخیص دادند.
به گزارش سایت طلا، مردی ۳۸ ساله اهل ماساچوست بدون هیچ علائمی دچار تشنج شدید شد که پزشکان پس از آزمایشات علت بیماری را وجود کرم نواری در مغز این فرد تشخیص دادند.
یک مرد ۳۸ ساله ماساچوستی، پس از اینکه دچار تشنج شدید شده بود، به بیمارستانی در ماسوچست بوستون منتقل شد. او سابقه بیماری قبلی نداشت و از سلامت خوبی برخوردار بود، اما ناگهان دچار حملههای زیادی شد. پزشکان تا پیش از معاینات و عکسبرداری، علت این موضوع را نمیدانستند، اما انجام اسکن مغزی، وجود یک مهمان ناخوانده در مغز این مرد را نشان داد.
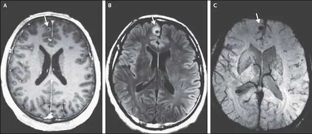
پس از انجام آزمایشات مختلف، پزشکان سه ضایعه مغزی را کشف و بیماری این مرد را سیستیسرکوزیس عصبی اعلام کردند. پزشکان گفتند که این بیماری نوعی عفونت بافتی است که کرم نواری عامل به وجود آمدن آن است. کیستهای لارو کرم نوازی حدود دو دهه قبل به مغز این مرد وارد شده و در بخشهایی از مغز قرار داشتند.
این مرد ۳۸ ساله که هنوز هویتش نامشخص است، پیش از مهاجرت به آمریکا در روستایی در گواتمالا زندگی میکرد. هنوز پزشکان متوجه چگونگی ورود انگل به مغز این مرد نشده اند، اما احتمال میدهند که او غذایی را خورده که فرد دارای انگل آن را تهیه کرده بود. بیماریهای مرتبط با انگل در مناطقی از گواتمالا، فراگیر است.
اندرو جی کول از پزشکان معالج این بیمارستان گفت: "باتوجه به سابقه زندگی این مرد در گواتمالا و بروز ناگهانی صرع، میتوان احتمال داد که بیماری او سیستیسرکوزیس عصبی است. "

ادوارد تی ریان، مدیر بخش بیماریهای عفونی در بیمارستان ماساچوست گفت که این بیمار بسیار قابل توجه بود، زیرا کرم نواری در مغز این مرد مدتها پیش مرده بود، اما همچنان باعث ایجاد تشنج در او میشد. مشکل این بیمار کمی غیرمعمول بود، اما نادر نبود. انگل درون مغز این مرد مرده بود و هیچ انگل زنده دیگری هم باقی نمانده بود. عفونت مدتها قبل رفع شده بود، اما بخشی از مغز این مرد زخم شده بود که همین موضوع باعث بروز تشنج میشد. "
اگرچه عفونت انگلی در آمریکا نادر است، اما مواردی از کرم نواری در سالهای اخیر در این کشور دیده شده است. در سال ۲۰۱۹، پزشکان نیویورکی در جریان یک جراحی توموری را از مغز یک زن جدا کردند، اما پس از عمل متوجه شدند که تومور نبوده و یک کرم نواری نابالغ در مغز این زن زندگی میکند. در همان سال مشخص شد مردی اهل تگزاس که به سردرد و لکنت زبان دچار شده بود، عفونت انگلی دارد و اگر درمان نمیشد ممکن بود جان خودش را از دست بدهد.
پزشکان مصرف گوشت نپخته خوک و بودن در مناطق غیربهداشتی را دو عامل اصلی ابتلا به این بیماری عنوان کردند. البته ممکن است شخصی از طریق بلعیدن تخمهای میکروسکوپی این کرم نیز به این بیماری دچار شود. علاوه بر این انتقال این بیماری از فردی به فرد دیگر با مصرف غذاهای تهیه شده توسط فرد آلوده به این انگل نیز امکانپذیر است.
ریان در این باره میگوید: "کرم نواری پس از عبور از ماهیچه و بافت، سیستم عصبی مرکزی را آلوده میکند. پس از مرگ کرم نواری در مغز، بین ۵ تا ۱۰ سال عفونت ایجاد شده باعث سردرد و تشنج میشود. "
کرم نواری در این مرد ماساچوستی پس از دو دهه باعث ایجاد عفونت شده بود. پزشکان توانستند تشنج این مرد را با دارو کنترل و او را تحت درمان با داروی ضدانگل و ضدالتهاب قرار دادند. او پس از پنج روز و بدون هیچ علائمی از بیمارستان مرخص شد. این مرد به مدت سه سال مورد آزمایش قرار گرفت و پزشکان دریافتند که تورم اطراف بزرگترین ضایعه مغز این مرد کمتر شده و با مصرف دارو دیگر دچار تشنج نشده است.